PANDEMIA DE COVID-19
Estudo Clínico Fase II (piloto de acordo com a WHO)
Avaliação da Eficácia e Segurança das Células-Tronco Mesenquimais NestaCell® no tratamento de pacientes hospitalizados infectados pelo vírus SARS-CoV-2 (COVID-19).
Literatura e Científico Mundial:
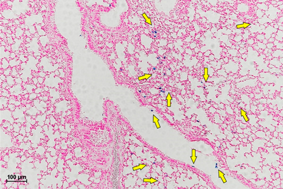
Estudos pré-clínicos de Biodistribuição:
Comportamento do produto NestaCell® in vivo
Capacidade de biodistribuição das células do produto NestaCell® in vivo após a administração intravenosa. Após 4 horas foi detectado o sinal de BLM das células marcadas no pulmão em 100% dos animais na região do pulmão. As células permaneceram até 30 dias no órgão (pulmão).
Imagens de bioluminescência das células marcadas com luciferase (Hidpsc-Red-Luc+) dos animais da linhagem C57 black posicionados decúbito ventral adquiridas pelo IVIS Lumina II (Xenogen Corp. CA, EUA).
Imagens de microscopia ótica do tecido-pulmão usando a coloração Fast Red e Azul de Prússia do grupo G4, em 30 dias.
Objetivo Primário de Eficácia do Estudo e sua variável
Avaliar a eficácia da terapia celular avançada NestaCell® em promover a redução do tempo de permanência em ventilação mecânica invasiva de portadores de COVID-19 hospitalizados.
O estado clínico dos participantes ao longo do estudo será avaliado pela Escala Ordinal de Avaliação da Evolução Clínica. Os graus 6 e 7 dessa escala correspondem à ventilação mecânica invasiva.
Delineamento do estudo
Este ensaio clínico de Fase 2 será prospectivo, duplo-cego, randomizado, paralelo, intervencionista, multicêntrico e controlado por placebo.
Grupos de tratamento
Serão incluídos no estudo 90 participantes, randomizados na proporção 1:1 para os grupos Teste (NestaCell®) ou Controle (placebo, veículo do NestaCell®). 45 participantes em cada grupo.
- Grupo Teste: NestaCell®
- Grupo Controle: Placebo (veículo do produto investigacional)
Investigadores e Principais Centros de Pesquisa
- Dr. Florentino Cardoso – Oncologista e Intensivista – Casa de Saúde de Campinas
- Dr. Ricardo Diaz – Infectologista – Escola Paulista de Medicina (Unifesp)
- Dr. Alexandre de Matos Soeiro – Cardiologista e Intensivista – Incor (HC-USP)
- Dr. Paulo Fernando Guimarães Morando Marzocchi Tierno – Intensivista – SPDM (São Paulo)
Aprovação da CONEP